Cabinet Dentaire Dentheo
Dentistes à Petit-Rechain - Verviers - Liège -
Belgique
Accueil
L'équipe
Contact
Questionnaire pré-RDV
Spécialités
Implants
Soins esthétiques
Parodontologie
Fiches Conseils
Nos vidéos
Recrutement
Dentistes à Petit-Rechain - Verviers - Liège -
Belgique
Cabinet Dentaire Dentheo
Rue de Battice, 221 4800 PETIT-RECHAIN
+32 873 32 20 0
Accueil
L'équipe
Contact
Questionnaire pré-RDV
Spécialités
Implants
Soins esthétiques
Parodontologie
Fiches Conseils
Nos vidéos
Recrutement
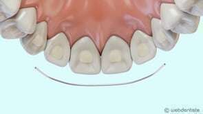
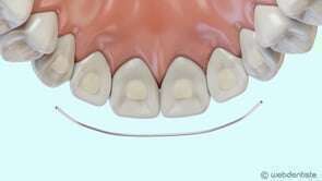
Fil de contention
Vidéos 3D
Partager
Twitter
Partager
Partager
Envoyer
Copier
Cabinet Dentaire Dentheo
Rue de Battice, 221 4800 PETIT-RECHAIN
+32 873 32 20 0
En savoir +
Politique de confidentialité et charte cookie
Mentions légales
Conditions Générales Utilisation
Rechercher
Création par
Connexion